
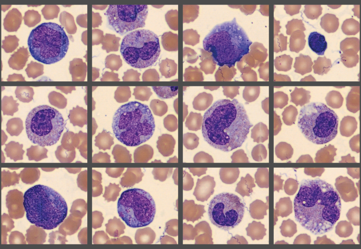
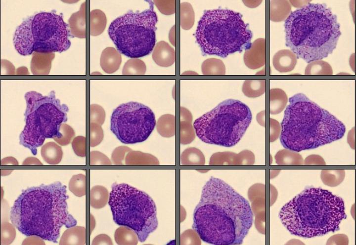
Case #10 Acute Myeloid Leukemia with NPM1 and FLT3-IDT mutation
A 53-year-old male presented to the emergency department with acute onset of shortness of breath, tachycardia, and fever. He reported overwhelming fatigue, cutaneous rashes, and bone pain persisting for several weeks prior to admission.
Case #9 Sickle cell crisis
A young Nigerian woman came to the emergency room with intense pain in her limbs, chest, and stomach. She experienced dizziness, shortness of breath and headache.
Case #8 Mantle Cell Lymphoma
A man in his early 70s came to the emergency room with abdominal pain, loss of appetite, fever, night sweats, swollen lymph nodes in the neck, enlarged spleen and liver and back pain.

Case #7 Borrelia hermsii infection
A ten-year-old girl who recently returned from a camping trip near Lake Tahoe, Nevada, was seen in the urgent care center with fever, headache, nausea and vomiting.

Case #6 Burkitt Lymphoma
9-year-old male with a history of jaw pain and weakness. More recently fever, shortness of breath and abdominal pain.
Explore our other patient cases
9-year-old male with a rapid onset of pain, fever, cough, headache, shortness of breath and cold and flu like symptoms, including nausea and vomiting.
A 68-year-old female with a history of breast cancer presented with cough, fever, chills, shortness of breath, weakness, and unexplained weight loss.

A 25-year-old Asian American female with a long history of anemia was seen in the emergency room with acute onset of fatigue, weakness, shortness of breath, jaundice, and hepatosplenomegaly. Her history includes recurring leg ulcers and gall stones. She is transfusion dependent.

A 45-year-old man presented to his medical practitioner with recent onset of fever, chills, weakness, and muscle soreness. Routine laboratory tests were performed.

A 67-year-old man presented with an extensive red, itchy rash on most his body, unexplained weight loss, and lymphadenopathy. Testing showed an elevated AST, ALT and LDH.
