Skip to main content
bma

CellaVision® Bone Marrow Aspirate Application

Turning Aspirates into Answers – Core Insights for Better Care
woman in lab

Real Value for Your Lab

A trusted partner in digital morphology – now advancing bone marrow aspirate analysis.

With CellaVision® Bone Marrow Aspirate Application, your laboratory can streamline digital bone marrow aspirate analysis through AI-powered pre-classification, supporting faster, standardized, and fully traceable morphology review.

Efficient Workflow. 

Better Standardization. 

Stronger Collaboration. 

CellaVision® Bone Marrow Aspirate Application – Demo Video

CellaVision BMA Application helps laboratories streamline review workflows with AI-powered pre-classification, supporting faster turnaround times and consistent morphology results.

 

With AI-assisted automation, your lab can: 

Improve Laboratory Workflow Efficiency

Standardize & Support Diagnostic Confidence

Elevate bone marrow morphology expertise

How the Bone Marrow Aspirate Workflow Solution Works

 

CellaVision Bone Marrow Aspirate Application automatically locates, captures, and pre-classifies cells based on morphology. This supports structured digital review and simplifies complex bone marrow smear analysis. 

 

The solution supports: 

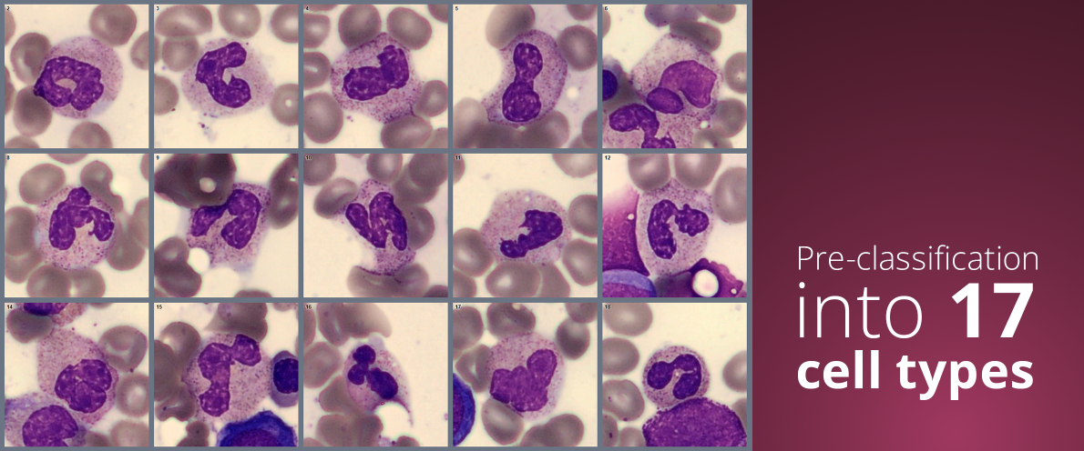
  • Nucleated cell differential with pre-classification into 17 cell types 

  • Automatic selection of suitable differential areas 

  • Manual area selection when needed 

  • Remote expert review with commenting functions 

  • LIS reporting and PDF reporting with selected cell images 

  • Traceability in area selection, reclassification, and reporting

people in a lab talking

Built for Modern Hematology Laboratories

CellaVision Bone Marrow Aspirate Application helps laboratories modernize complex bone marrow review through efficient digital workflows. 

Whether your goal is standardization, collaboration, or faster turnaround times, this bone marrow aspirate application supports your team from selecting differential area to reporting of results.

Key Features at a Glance

  • AI-assisted pre-classification
  • Smart area selection
  • Multi-slide case handling
  • Fast, intuitive re-classification
  • Flexible image review
  • Deeper morphological insight
  • Powerful comparisons
  • Traceability & archiving

Visit the product page to learn more.

A Bone Marrow Morphology Workflow

The CellaVision Bone Marrow Aspirate Application runs on the CellaVision® DC-1 analyzer using a 100× objective. Combined with BMA Review Software, it forms a bone marrow morphology solution for digital review, consultation, and verification.

 

This integrated workflow supports: 

  • AI-assisted pre-classification

  • Structured review and verification

  • Multi-slide order handling

  • Remote review and collaboration

  • Full documentation and traceability

See How It Works for Your Lab

Explore the key features in a tailored walkthrough designed around your workflow, challenges and clinical needs.

The product is now available for purchase in markets requiring CE marking under the EU In Vitro Diagnostic Regulation (IVDR). This application is not cleared or approved by the U.S. FDA and is not available for use in the United States.