Skip to main content

CellaVision Global Test 2026:1 – Infectious Mononucleosis

Case Description

A 19-year-old man was seen in a primary care clinic with a 2-week history of: persistent fatigue, intermittent low-grade fever, mild sore throat, tender posterior cervical lymph nodes, upper left abdominal fullness and reduced appetite.

Laboratory Findings

Complete blood count (CBC):
 

Test 

Result 

Reference Interval (male) 

Unit 

WBC 

13.97

4.0 - 10.0

x109/L

RBC 

4.57

4.5 – 5.9

x109/L

HGB

13.7

13.5 – 17.5 g/dL

HCT

39.7

41 – 53

%

MCV 86.9 80 - 100 fL
MCH 30.0 27 - 33 pg
MCHC 34.5 32 - 36 g/dL
PLT 116 150  –  400 x109/L
RDW 12.5 11.5 - 14.5 %

Cell Counter Differential:

Test 

Result (x109/L)

Unit (%)

Neutrophils

2.26

16.2

Lymphocytes

---

---

Monocytes

---

---

Eosinophils

0.07

0.5

Basophils 0.05 0.4
IG 0.13 0.9
NRBC 0.0 0.0

WBC flags: WBC Abnormal Scattergram, Monocytosis, Blasts/Abnormal Lymphocytes?

 

Analysis Details 

Stain: May–Grünwald–Giemsa

Analyzer: CellaVision DC-1, CDMS 7.2, LED Microscope mode

 

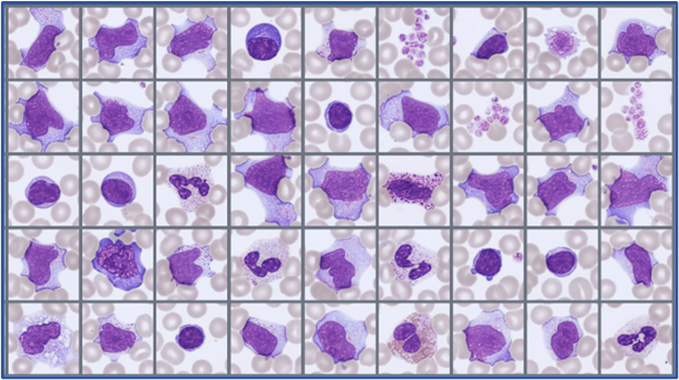
Sample of cells classified in the Global Test 2026:1

Sample of cells classified in the Global Test 2026:1

 

RBC Overview

Global Test 2026:1 RBC Overview

Case conclusion 

Laboratory testing showed a slight leukocytosis (WBC 13.97 ×10⁹/L) and thrombocytopenia (PLT 116 ×10⁹/L). The automated differential was partially unreliable where the lymphocyte population was not reported due to an abnormal scattergram. Analyzer flags indicated abnormal WBC scattergram, monocytosis and possible abnormal/atypical lymphocytes or blasts. Peripheral blood smear examination showed slightly increased WBC count with lymphocytosis with approximately 50% reactive lymphocytes with characteristic dark blue cytoplasm and irregular nuclear shape. Normal hemoglobin and RBC count and a decreased PLT count with PLT clumps present.


Diagnosis

Infectious Mononucleosis

 

Global Test 2026:1 Results Webinar

 

  • Case presentation
  • DC-1 Analysis - the WBC differential and RBC Characterization
  • Differences in classification between examiner and participants
  • Discussion about Mononucleosis – From symptoms to laboratory diagnosis